HOME
Past Conferences
2020
2019
2018
2017
Awards
Training
Medical Student
Junior Doctors
ENT Trainees
Training in Wales
Guidelines
Research
About
Abstract Submission
develop free website
Skull base MDT Referral Form
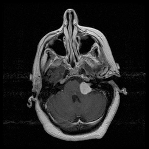
Vestibular Schwannoma Management Protocol